Cabinet dentaire du Dr Frédéric Gely-
Huc
Chirurgien-Dentiste à Béziers
Accueil
Le cabinet
Les traitements
Horaires et accès
L'équipe
Notre équipement
Conférences et publications
Implantologie
Parodontologie
Esthétique
Blanchiment
Les facettes céramiques
L'orthodontie Invisible
Cas clinique
Questionnaire pré-RDV
Nos conseils
Vidéos 3D
CONTACT
Accueil
Le cabinet
Les traitements
Horaires et accès
L'équipe
Notre équipement
Conférences et publications
Implantologie
Parodontologie
Esthétique
Blanchiment
Les facettes céramiques
L'orthodontie Invisible
Cas clinique
Questionnaire pré-RDV
Nos conseils
Vidéos 3D
CONTACT
Cabinet dentaire du Dr Frédéric Gely-
Huc
6 boulevard JEAN JAURES
34500
BEZIERS
+33 4 67 28 27 20
Chirurgien-Dentiste à Béziers
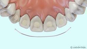
Fil de contention
Vidéos 3D
Partager
Twitter
Partager
Partager
Envoyer
Copier
Cabinet dentaire du Dr Frédéric Gely-Huc
6 boulevard JEAN JAURES
34500
BEZIERS
+33467282720
Politique de confidentialité et charte cookie
Mentions légales
Conditions Générales Utilisation
L'EXAMEN RADIOLOGIQUE PANORAMIQUE
LE BLANCHIMENT DES DENTS "AU FAUTEUIL"
L’ÉCLAIRCISSEMENT DENTAIRE
LE CONE BEAM
Lundi
9h - 12h45
,
14h - 19h
Mardi
9h - 12h45
,
14h - 19h
Mercredi
14h - 19h30
Jeudi
9h - 12h45
,
14h - 19h30
Vendredi
9h - 12h45
,
14h - 19h30
Samedi
9h - 12h30
Dimanche
Fermé
Création par
Connexion