Cabinet dentaire du Dr Frédéric Gely-
Huc
Chirurgien-Dentiste à Béziers
Cabinet dentaire du Dr Frédéric Gely-
Huc

6 boulevard JEAN JAURES
34500 BEZIERS

+33 4 67 28 27 20

Chirurgien-Dentiste à Béziers

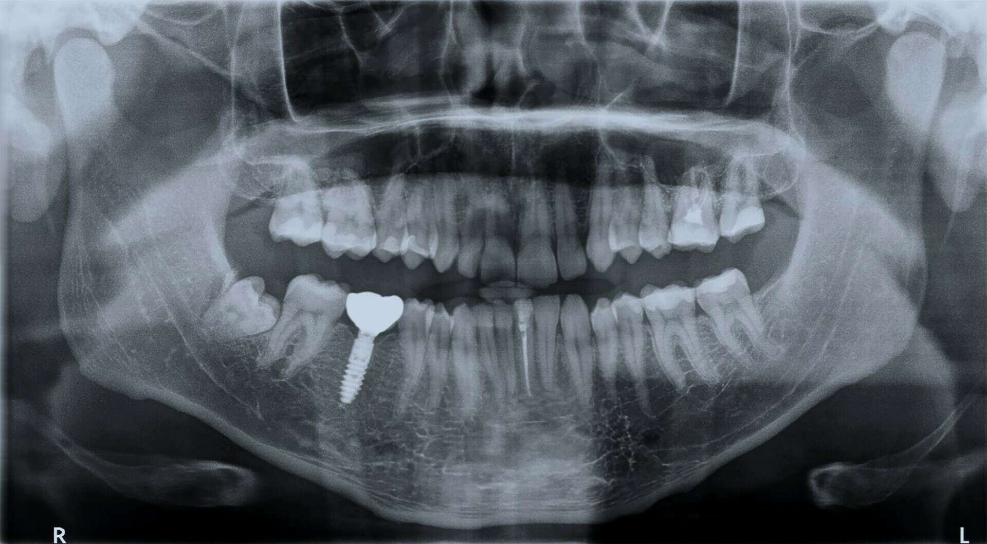
La technique Flapless


Les avantages de la technique Flapless sont bien connus et nous assistons à une évolution de ce paradigme avec les nouvelles générations de trépans muqueux. 


Une méthode qui présente de nombreux avantages : une intervention moins longue tant pour le patient que pour le praticien et un plateau technique réduit. 

Les suites postopératoires sont moins douloureuses et œdémateuses, entraînant moins de gênes pour le patient. La prise d’antalgique de première intention est réduite, voire parfois inutile dans certains cas

LES AVANTAGES DE LA TECHNIQUE FLAPLESS

Temps de cicatrisation réduit 

• Résultat esthétique très satisfaisant 

• Pas d’emploi de fils de sutures 

• Coût de l’opération plus faible 

• Pas de réouverture de la plaie 

• Vascularisation et nutrition protégée => meilleure cicatrisation 

• Suites postopératoires favorables 

• Excellentes espérances de succès de l’opération 


Le chirurgien-dentiste doit être formé et apte à pratiquer la technique, prévenu et conscient de la précision demandée. Les examens préopératoires pour évaluer la quantité du volume osseux et gingival ainsi que l'analyse des images en tomographie numérique d’une grande qualité et précision sont indispensables.